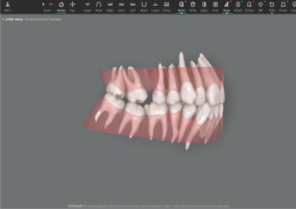
Tích hợp CBCT trong phần mềm ClinCheck® Pro
Tự động tạo mô hình 3D với chân răng, thân răng và xương để lập kế hoạch điều trị sáng suốt hơn.




Lên kế hoạch điều trị sáng suốt hơn cho nhiều chỉ định lâm sàng khác nhau.
Phẫu thuật
Phục hình
Nong hàm/Nhổ răng
Trường hợp thiếu niên có răng bị ảnh hưởng hoặc chưa mọc


Bốn góc nhìn trong một nền tảng tích hợp để nâng cao kế hoạch điều trị.


Chân răng và nướu


Chỉ có chân răng


Chân răng với cấu trúc xương bán trong suốt


Chân răng và xương


Chân răng và nướu


Chỉ có chân răng


Chân răng với cấu trúc xương bán trong suốt






